Only FLASH achieves total aorto-ostial stent apposition

25000 Flash Systems Sold
  • Optimize Patient Outcomes
  • Total & Efficient Lesion Coverage
  • Streamlined Vessel Reaccess
Ostial Flash True 360

Only FLASH achieves total aorto-ostial stent apposition

  • Optimize Patient Outcomes
  • Total & Efficient Lesion Coverage
  • Streamlined Vessel Reaccess
25000 Flash Systems Sold

New FLASH Images!

The Challenge

Suboptimal Lesion Coverage

Standard PTCA catheters are unable to create a smooth transition at the ostium creating suboptimal lesion coverage, which is associated with poor outcomes.1

flash-vs-standard-of-care@2x

The solution

Flash3D_NoBackground_02_v2-fade

97%

of lesions demonstrated complete stent apposition2,3

Novel Dual-Balloon Technology

Available for both coronary and peripheral indications.

flash_01

EASY DELIVERY AND CATHETER POSITIONING

The FLASH system is designed to confidently access and address challenging aorto-ostial stenting, providing total lesion coverage.

flash_02

TRUE 360° FLARED APPOSITION

Novel 2-in-1 dual balloon design allows for inflation of a non-compliant distal balloon to anchor the system, while inflation of the compliant, low-pressure proximal balloon conforms the stent to the wall of the ostium.

flash_03

STREAMLINED
REACCESS

With TRUE 360° wall apposition achieved, a smooth transition is created for improved reaccess in future interventions.1,2

confident outcomes

restenosis

The FLASH System demonstrates consistently low restenosis at 6 months, below the 9% rate reported for accurate stent placement in ostial lesions.

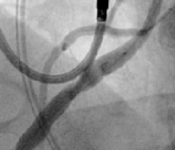
Excellent Final Result

RCA Ostial Stenosis

Prior to stent deployment
Prior to stent deployment
Stent protruding into aorta
Stent protruding into aorta
Post-dilatation with FLASH
Post-dilatation with FLASH
TRUE 360° result
TRUE 360° result

FEVAR

Stent protruding into aorta
Stent protruding into aorta
Post-dilatation with FLASH
Post-dilatation with FLASH
TRUE 360° result
TRUE 360° result

Resources

Case studies, training videos, and more.

ordering information

Ostial-Flash-Ordering-Chart@2x

Email us your order at [email protected]
Or call: 1.844.FLASH.11

About

Mike Buck

Mike Buck

Chief Executive Officer

Jon Bohane Headshot

Jon Bohane

Chief Operating Officer

Michael Lankford

Michael Lankford

Vice President of Sales

Tom Davis

Dr. Tom Davis

Medical Director

Ted- Karmom

Ted Karmon

Head of Outpatient Solutions

Janet Shahbzi Headshot

Janet Shahbazi

Head of Quality

Sam Hesami Headshot

Sam Hesami

Corporate Controller

newsroom

Verge Medical Acquires RoVo™ System to Advance Peripheral Embolic Protection

June 30, 2025

Verge Medical, a privately held medical technology company focused on advancing physician-driven solutions to address persistent gaps in vascular care, today announced the acquisition of the RoVo™ System and its patented Temporary Occlusion Embolectomy (TOE) technology from 2MG Medical. The acquisition enhances Verge’s expanding portfolio of targeted, setting-specific solutions for coronary and peripheral vascular interventions.

Ostial Corporation Becomes Verge Medical Following Strategic Acquisition

March 17, 2025

Ostial Corporation, a privately held medical technology company focused on addressing the clinical challenges of aorto-ostial interventions, today announced the acquisition of the Wavella™ technology from Crossfire Medical. The company also unveiled its new identity as Verge Medical, marking a strategic expansion in the coronary and peripheral markets, with product offerings now in the inpatient and office-based settings.

Ostial Corporation Appoints Mike Buck as Chief Executive Officer

July 1, 2024

Ostial Corporation (Ostial), a private medical technology company focused on addressing the clinical challenges of aorto-ostial interventions, is pleased to announce the appointment of Mike Buck as its new Chief Executive Officer. Mike brings over 30 years of cardiovascular experience, having held several executive leadership positions at prominent companies, including Guidant, Abbott, Cardinal Health, and most recently, TRUVIC Medical.

Ostial Corp Closes $7.5M Series C Financing

February 8, 2023

Proceeds to accelerate commercialization and pipeline expansion of novel FLASH™ Aorto-Ostial Angioplasty System
Ostial Corporation (Ostial), a private medical technology company focused on addressing the clinical challenges of aorto-ostial interventions, today announced the raise of $7.5M in growth funding led by Delos Capital with participation from AMED Ventures and other existing investors.

Ostial Reaches 15,000 FLASH™ Systems Sold

May 12, 2020

Ostial Corporation (Ostial), a private medical technology company focused on addressing the clinical challenges of aorto-ostial interventions, today reached a new milestone, passing the mark of 15,000 commercial units sold of its FLASH™ Aorto-Ostial Angioplasty System (FLASH System) in over 300 hospitals across the United States. FLASH is the first and only dual balloon-based system designed for use in aorto-ostial angioplasty in coronary and peripheral cases.

Find out more about FLASH™

§compared to non-ostial lesions

  1. Cook, et al. Impact of incomplete stent apposition on long-term clinical outcome after drug-eluting stent implantation European Heart Journal 2012. 33:1334-1343.
  2. Data on file at Ostial Corporation.
  3. Sanghvi K, Morris T, Kovach R. Optimal Aorto-ostial Lesion Treatment With Flash Ostial Balloon Is Feasible and Safe. JACC. 2016;9(4). Supplement S.
  4. Nguyen-Trong P, Martinez Parachini J, Resendes E, et al. Procedural Outcomes With Use of the Flash Ostial System in Aorto-Coronary Ostial Lesions. Catheter Cardiovasc Interv.
    2016;88(7):1067-1074.
  5. Data on file at Ostial Corporation.
  6. Dishmon D, Elhaddi A, Packard K, et al. High Incidence of Inaccurate Stent Placement in the Treatment of Coronary Aorto-Ostial Disease. JIC. 2011;23(8).

Indications, Contraindications, Warnings & Precautions

The FLASH™ Ostial system in a specialty balloon device and should only be used by physicians who are trained to use it.
To request a complete copy of the IFU or user training, please contact customer service at [email protected].